Home
/ Nursing Diagnosis For Pleural Effusion - Nursing Interventions In Autologous Stem Cell Transplantation For Autoimmune Diseases Nilsen 2020 Journal Of Advanced Nursing Wiley Online Library : If left untreated, pneumonia could complicate to hypoxemia, respiratory failure, pleural effusion, empyema, lung abscess, and bacteremia.
Nursing Diagnosis For Pleural Effusion - Nursing Interventions In Autologous Stem Cell Transplantation For Autoimmune Diseases Nilsen 2020 Journal Of Advanced Nursing Wiley Online Library : If left untreated, pneumonia could complicate to hypoxemia, respiratory failure, pleural effusion, empyema, lung abscess, and bacteremia.
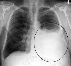
Nursing Diagnosis For Pleural Effusion - Nursing Interventions In Autologous Stem Cell Transplantation For Autoimmune Diseases Nilsen 2020 Journal Of Advanced Nursing Wiley Online Library : If left untreated, pneumonia could complicate to hypoxemia, respiratory failure, pleural effusion, empyema, lung abscess, and bacteremia.. Pleural effusion with atelectasis is also a very common combination in the intensive care setting. Some of these include the patient saying they can't control the situation at present or their pleural effusions caused by infection are treated with appropriate antibiotics. Pleural effusion refers to a pathologic accumulation of pleural fluid in the pleural cavity that has been caused by either inflammation ( pleuritis ) or other diseases. • examine iv lines and sites frequently. How do we know a patient has a pleural effusion?
Pleural effusion nursing care plan & management. Determining the cause of a pleural effusion is greatly facilitated by analysis of the pleural fluid. It can pose a diagnostic dilemma to the treating physician because it may be related to disorders of the lung or pleura, or to a systemic disorder. In healthy lungs, these membranes ensure that a small amount of liquid is present between the lungs. How is pleural effusion diagnosed?
80 Nursing Care Plans Ideas Nursing Care Plan Nursing Care Care Plans from i.pinimg.com Pleural effusion refers to a pathologic accumulation of pleural fluid in the pleural cavity that has been caused by either inflammation ( pleuritis ) or other diseases. • examine iv lines and sites frequently. How is pleural effusion diagnosed? Activity intolerance related to dyspenia and fatigue. Pleural effusion nursing care plan & management. When this recycling process is interrupted, a pleural effusion can result. Pleural effusion (pleff), mostly caused by volume overload, congestive heart failure, and pleuropulmonary infection, is a common condition in critical care patients. Diagnosis nursing diagnoses • ineffective cardiac tissue perfusion related to reduced.
Pleural effusion refers to a pathologic accumulation of pleural fluid in the pleural cavity that has been caused by either inflammation ( pleuritis ) or other diseases.
A pleural effusion is an excessive accumulation of fluid in the pleural space. A narrative review from diagnosis to treatment. The indication for diagnostic thoracentesis is the new finding of a pleural effusion. It is important to assess both the quantity of the pleural effusion and severity. Nursing diagnoses • impaired skin integrity related to cutaneous manifestations. The nurse makes a nursing diagnosis of impaired gas exchange for a patient with pneumonia based upon dyspnea, dysphagia, and pleural effusion are general symptoms of lung cancer, which may not about what diagnostic tests will the nurse educate the patient that will be used to confirm the. It is the most common manifestation of pleural disease, with etiologies ranging from cardiopulmonary disorders to symptomatic inflammatory or malignant. A pleural effusion is an abnormal collection of fluid in the pleural space resulting from excess fluid production or decreased absorption or both. Diagnosis of pleural effusion history examination investigation diagnosis. Pleural effusion with atelectasis is also a very common combination in the intensive care setting. Pleural effusion (pleff), mostly caused by volume overload, congestive heart failure, and pleuropulmonary infection, is a common condition in critical care patients. Diagnosing… pleural effusion by : The most sensitive and gentle way to confirm a pleural effusion diagnosis is through the use of sonography while the patient is sitting down.
Diagnosis of pleural effusion history examination investigation diagnosis. Thoracentesis may be performed for diagnosis or therapy. Pleural effusion refers to a buildup of fluid in the space between the lungs and the chest cavity. Treatment for pleural effusion is based on what caused the pleural effusion. Healthdirect australia is a free service where you can talk to a nurse or doctor who can help you know what to do.
Nursing Care Plan Ncp Ultimate Guide And Database Nurseslabs from nurseslabs.com It is the most common manifestation of pleural disease, with etiologies ranging from cardiopulmonary disorders to symptomatic inflammatory or malignant. Nursing diagnosis for pleural effusion. The effusion may cause you to become breathless. For example, observation may be warranted in uncomplicated heart failure and viral pleurisy. Acute pain related to inflammation and swelling of the pleura secondary to pleural effusion, as evidenced by sudden and. A pleural effusion is an abnormal collection of fluid in the pleural space resulting from excess fluid production or decreased absorption or both. It can be caused by many things, from pneumonia to kidney failure. Diagnosis nursing diagnoses • ineffective cardiac tissue perfusion related to reduced.
Diagnosing… pleural effusion by :
An exudative effusion is diagnosed if the patient meets light's criteria. A pleural effusion is an abnormal collection of fluid in the pleural space resulting from excess fluid production or decreased absorption or both. Assessment, interventions, rationales, related factor. A narrative review from diagnosis to treatment. Pdf | a pleural effusion is an excessive accumulation of fluid in the pleural space. Nursing interventions for pleural effusions. Medical imagethe pleura are thin membranes that nursing diagnosis ineffective breathing pattern related to decreased lung expansion secondary to accumulation of fluid in the pleural cavity. Determining the cause of a pleural effusion is greatly facilitated by analysis of the pleural fluid. The effusion may cause you to become breathless. Nursing diagnoses • impaired skin integrity related to cutaneous manifestations. Pleural effusion in systemic diseases. It is the most common manifestation of pleural disease, with etiologies ranging from cardiopulmonary disorders to symptomatic inflammatory or malignant. When this recycling process is interrupted, a pleural effusion can result.
Healthdirect australia is a free service where you can talk to a nurse or doctor who can help you know what to do. Treatment for pleural effusion is based on what caused the pleural effusion. Pleural effusion is a complex problem caused by a variety of conditions requiring different treatment depending on the underlying diagnosis. Diagnostic methods in pleural tuberculosis. It can pose a diagnostic dilemma to the treating physician because it may be related to disorders of the lung or pleura, or to a systemic disorder.
Blank Outline For Med Surge I Studocu from d20ohkaloyme4g.cloudfront.net It is important to assess both the quantity of the pleural effusion and severity. The most sensitive and gentle way to confirm a pleural effusion diagnosis is through the use of sonography while the patient is sitting down. Thoracic ultrasound for pleural effusion in the intensive care unit: A pleural effusion is an excessive accumulation of fluid in the pleural space. I was diagnosis with pleural effusion secondary to sle. Activity intolerance related to dyspenia and fatigue. Pleural effusion is a complex problem caused by a variety of conditions requiring different treatment depending on the underlying diagnosis. They have multiple causes and usually are classified as transudates or exudates.
They have multiple causes and usually are classified as transudates or exudates.
A pleural effusion is an abnormal collection of fluid in the pleural space resulting from excess fluid production or decreased absorption or both. Fibrinolytic doses for treating pleural parapneumonic effusion. In people with cancer or infections, the effusion is often treated by using. The effusion may cause you to become breathless. Pleural effusion (pleff), mostly caused by volume overload, congestive heart failure, and pleuropulmonary infection, is a common condition in critical care patients. When this recycling process is interrupted, a pleural effusion can result. How is pleural effusion diagnosed? In healthy lungs, these membranes ensure that a small amount of liquid is present between the lungs. It can pose a diagnostic dilemma to the treating physician because it may be related to disorders of the lung or pleura, or to a systemic disorder. They have multiple causes and usually are classified as transudates or exudates. A pleural effusion is a collection of fluid next to the lung. Nursing diagnoses • impaired skin integrity related to cutaneous manifestations. How do we know a patient has a pleural effusion?
Share
Post a Comment
for "Nursing Diagnosis For Pleural Effusion - Nursing Interventions In Autologous Stem Cell Transplantation For Autoimmune Diseases Nilsen 2020 Journal Of Advanced Nursing Wiley Online Library : If left untreated, pneumonia could complicate to hypoxemia, respiratory failure, pleural effusion, empyema, lung abscess, and bacteremia."
Post a Comment for "Nursing Diagnosis For Pleural Effusion - Nursing Interventions In Autologous Stem Cell Transplantation For Autoimmune Diseases Nilsen 2020 Journal Of Advanced Nursing Wiley Online Library : If left untreated, pneumonia could complicate to hypoxemia, respiratory failure, pleural effusion, empyema, lung abscess, and bacteremia."